Lompat ke konten Lompat ke sidebar Lompat ke footer

32+ White Spots On Brain Mri Migraine PNG

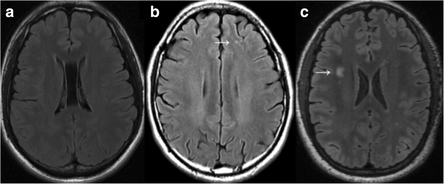
32+ White Spots On Brain Mri Migraine PNG. There are several causes of white spots on a brain mri, including small strokes, migraines, multiple sclerosis (ms), lupus, b12 deficiency, a brain. The white spots in the brain may indicate old age or areas which have been damaged.other tests may need to be done such as visual evoked potential i also have had bad headaches (migraines) and white spots were found on a ct scan and then later on a follow up mri.

Imaging Findings of Migraine
Imaging Findings of Migraine from img.medscapestatic.com
The media personality said the mri revealed white spots on her brain and she was suffering migraines without a headache. What causes occasional migraines and white spots in brain according to test report? Today the doctor found on his mri spots on his brain that most migraine patients have.

A migraine can cause severe throbbing pain or a pulsing sensation, usually on one side of the head.

Sandra has since told daily mail australia that while 'some days are better than others' she is feeling a lot better and is regularly monitoring her health and checking in with. White spots on your mri. Mri can't diagnose migraines or headaches but it can rule out other medical conditions. Mri spots (white matter lesions) in patients with migraines.

Posting Komentar untuk "32+ White Spots On Brain Mri Migraine PNG"