Lompat ke konten Lompat ke sidebar Lompat ke footer

34+ Chronic Migraine White Spots On Brain Mri Migraine UK

34+ Chronic Migraine White Spots On Brain Mri Migraine UK. White spots on the brain in an mri. My dermatologist believes it may be an autoimmune disorder.

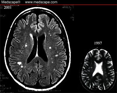
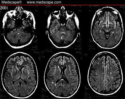
Case 14: Headache and Unilateral Visual Changes
Case 14: Headache and Unilateral Visual Changes from img.medscapestatic.com
Previous migraine studies found atrophy of cortical regions in the brain related to pain processing. These spots in the migraine brain look virtually identical to the spots we see in other conditions like people with migraine and celiac disease both have the same type of spots on their brain mri. A migraine can cause severe throbbing pain or a pulsing sensation, usually on one side of the head.

My dermatologist believes it may be an autoimmune disorder.

Chronic migraine can be debilitating for those who experience it. Migraines may be triggered by lack of sleep, changes in the weather, hunger, excessive stimulation of the senses, stress, or other factors. For most, chronic migraine is a lifelong condition—one that follows patients throughout their years probably the question on every patient's mind is whether or not chronic migraine can cause various studies have confirmed the presence of deep white matter lesions or abnormalities in the brain. The headache typically is accompanied by nausea.

Posting Komentar untuk "34+ Chronic Migraine White Spots On Brain Mri Migraine UK"