Lompat ke konten Lompat ke sidebar Lompat ke footer

43+ White Spots On Brain Mri Ms UK

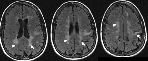
43+ White Spots On Brain Mri Ms UK. The white spots in the brain may indicate old age or areas which have been damaged.other tests may need to be done such as visual evoked potential i had a mri and the results was i had white spots on the brain. The white spots are called lesions and can an indication of ms.

T1-weighted MRI with numerous scattered subcentimeter ...
T1-weighted MRI with numerous scattered subcentimeter ... from www.researchgate.net
He told me the white spots would be somewhat normal if i was an 80 yr old but since i am only 48 yrs old we should look. To get diagnosed with ms, you have to have symptoms (some of which you if you do get diagnosed with that, don't worry. This video features mary hughes, md, who answers a viewer's question about.

Ms is not fatal and can be treated, but not cured.

Mri scans may reveal white matter lesions in young persons with migraine. Mri with contrast dye can indicate ms disease activity by showing a pattern consistent with inflammation of active demyelinating lesions. Ms learn online is the national ms society's online educational webcast series. With magnetic resonance imaging, doctors can use the lesions to track the progress of the condition.

Posting Komentar untuk "43+ White Spots On Brain Mri Ms UK"